Lợi ích của dán sứ Veneer
1
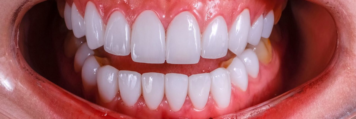
Hiệu quả thẩm mỹ cao
2
Bảo tồn răng thật
3
Tuổi thọ lâu đời
4
Không gây biến chứng
5
Thiết kế dáng răng theo mong muốn của bạn
6
Bảo vệ tủy răng
5+ trường hợp nên dán sứ Veneer
NHẬN TƯ VẤN MIỄN PHÍ TỪ CHUYÊN GIA
ĐĂNG KÝ NHẬN TƯ VẤN
Vui lòng để lại thông tin của quý khách. Nha Khoa Anh Dental sẽ liên hệ đến Quý Khách trong thời gian sớm nhất
Quy trình dán sứ Veneer chuẩn Y khoa Anh Dental
Chi phí dán sứ Veneer là bao nhiêu?
Có phải bạn e ngại chi phí răng dán răng sứ Veneer quá đắt đỏ? Hay phương pháp này sẽ để lại đau đớn, biến chứng? Đừng quá lo lắng! Chi phí dán răng sứ Veneer còn tùy thuộc vào tình trạng răng miệng hiện tại cũng như số răng cần dán sứ. Để biết thêm thông tin chi tiết về giá dán răng sứ Veneer, hãy cùng Nha khoa thẩm mỹ Anh Dental tìm hiểu các yếu tố ảnh hưởng đến giá, bảng giá làm răng Veneer nhé!
Ưu đãi Dán sứ Veneer
Duy nhất chỉ 50 suất dán sứ Veneer trước Tết Nguyên Đán 2026
Ưu đãi 50% răng sứ thẩm mỹ - 50 suất duy nhất trước Tết 2026
Chỉ còn chưa đầy 1 tháng nữa là Tết, bạn đã sẵn sàng thay đổi diện mạo để tự tin du xuân? Nếu hàm răng xỉn màu, sứt mẻ đang khiến bạn ngại ngùng, thì dịch vụ răng sứ thẩm mỹ chính là giải pháp hoàn hảo...
Tìm hiểu thêm6 lý do mà bạn nên lựa chọn dán sứ Veneer tại Anh Dental
99
100
100
20
100
100
Hình ảnh thực tế khách hàng thực hiện dán sứ Veneer
Câu hỏi thường gặp khách hàng khi dán sứ Veneer
Dán sứ Veneer đòi hỏi khá cao về tính thẩm mỹ cao và nha sĩ có chuyên môn cao. Do đó, khi gặp các trường hợp như: răng thưa, răng hở kẽ, răng tối màu, răng nhiễm màu hoặc hình thể răng xấu,… thì dán sứ Veneer là sự lựa chọn mang đến hiệu quả cao nhất. Tuy nhiên, với điều kiện là không kèm theo các vấn đề xô lệch răng, hàm răng tương đối đều nhau.
Mài răng là kỹ thuật bắt buộc phải thực hiện trước khi dán sứ Veneer. Tuy nhiên, nha sĩ chỉ mài một lớp men răng cực kỳ mỏng nên không ảnh hưởng đến sức khỏe răng miệng hay xâm lấn các răng khác cận kề. Thậm chí, có một số trường hợp không cần phải mài răng khi dán sứ Veneer.
Một trong những ưu điểm tuyệt vời nhất của dán sứ Veneer là không gây ê buốt, đau răng hay để lại bất kỳ khó chịu nào. Không chỉ thế, thời gian thực hiện dán sứ Veneer nhanh chóng nhưng vẫn đảm bảo độ bền cao.
Tình trạng răng bị xô lệch khá nhiều, răng nhiễm màu quá nặng. Răng cửa hình cánh bướm. Sâu răng nặng hoặc răng bị mòn hết men răng. Đang gặp các bệnh lý nha khoa trong tình trạng nặng: Viêm nha chu, viêm nướu, viêm tủy răng,… Kích thước những chiếc răng trên cùng một hàm răng không đồng đều.
Vệ sinh răng miệng 2 – 3 lần/ngày bằng bàn chải răng kèm theo sử dụng chỉ nha khoa, nước súc miệng. Có chế độ ăn uống lành mạnh, nên sử dụng các thực phẩm sạch. Tránh các thực phẩm chức nhiều đường, dầu mỡ hay có tính axit cao nhằm hạn chế làm tổn thương men răng. Tập bỏ thói quen hút thuốc, uống rượu bia, cắn móng tay, nghiến răng,… để miếng dán sứ được lâu bền theo thời gian. Thăm khám sức khỏe răng miệng định kỳ thường xuyên để hạn chế nguy cơ viêm nhiễm, mắc bệnh.









