
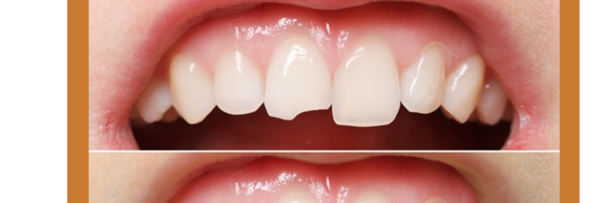
LỢI ÍCH PHƯƠNG PHÁP TRÁM SỨ ONLAY/INLAY
1
Trám sứ Onlay
2
Trám sứ Inlay
4 trường hợp nên trám răng Onlay/Inlay




Phân biệt giữa trám răng Inlay/Onlay

Trám sứ Inlay
Thường được áp dụng cho những trường hợp răng có lỗ sâu hoặc nứt vỡ vừa phải, không quá nặng nề trên một bề mặt. Những khiếm khuyết này chưa tác động nhiều đến các múi răng. Để trám răng Inlay, nha sĩ sẽ đúc gọn miếng trám vào bên trong răng nhưng không phủ múi răng.
Ưu điểm
Yêu cầu mài mô răng ở mức tối thiểu giúp bảo vệ mô răng một cách tự nhiên hơn so với các phương pháp truyền thống khác. Miếng trám Inlay có màu sắc tự nhiên như răng thật giúp duy trì vẻ đẹp tự nhiên của răng. Độ bền của miếng trám khá cao có thể kéo dài từ 10 - 20 năm nếu được chăm sóc tốt.
Nhược điểm
Chi phí khá cao và trải qua quy trình trám sứ Inlay phức tạp, yêu cầu kỹ thuật cao.

Trám sứ Onlay
Là phương pháp được sử dụng khi răng có lỗ sâu hoặc nứt vỡ lớn gây ảnh hưởng lớn đến sức khỏe của răng. Trong đó, các múi răng thật đã mất đi quá nhiều khiến tình trạng răng miệng trở nên trầm trọng hơn. Do đó, việc trám răng Onlay là phương pháp hữu hiệu để giải quyết dứt điểm các tình trạng trên.
Ưu điểm
Khả năng chịu lực nhai tốt, giúp phục hồi chức năng nhai một cách hiệu quả. Điều này phù hợp với những ai có tình trạng răng bị hư hỏng nặng nề. Vật liệu sứ và composite được sử dụng trong quá trình trám sứ Onlay ít gây kích ứng nướu và mô mềm xung quanh. Điều này giúp quý khách thoải mái ăn uống hơn sau khi trám răng
Nhược điểm
Đối với những trường hợp răng bị hư hại quá nặng thì phương pháp trám sứ Inlay/Onlay không thể phục hồi hết tất cả. Lúc đó, bạn cần đến phương pháp phục hình khác mới có thể khắc phục tình trạng trên.

NHẬN TƯ VẤN MIỄN PHÍ TỪ CHUYÊN GIA
đăng ký nhận tư vấn
Vui lòng để lại thông tin của quý khách. Nha Khoa Anh Dental sẽ liên hệ đến Quý Khách trong thời gian sớm nhất
Quy trình trám răng Inlay/Onlay tại Nha khoa Anh Dental
Quy trình trám răng Inlay/Onlay mất khá nhiều thời gian điều trị, từ khâu chẩn đoán đến bước hoàn thiện và kiểm tra cuối cùng. Tuy nhiên, đến với Nha khoa Anh Dental, khách hàng sẽ được rút ngắn thời gian khám chữa bệnh nhưng vẫn đảm bảo chất lượng dịch vụ tốt nhất. Vậy quy trình trám răng Inlay/Onlay tại Nha khoa Anh Dental có gì đặc biệt?
Bảng giá trám răng Inlay/Inlay tại Nha khoa Anh Dental
Chi phí trám răng Inlay/Onlay dao động từ 4.500.000/răng - 9.000.000/răng. Tuy nhiên, chi phí này còn phụ thuộc vật liệu, gói dịch vụ mà bạn lựa chọn. Để biết chính xác nhất về chi phí, bạn có thể đăng ký tư vấn trực tiếp tại hệ thống chi nhánh Nha khoa Anh Dental. Sau khi thăm khám và kiểm tra, nha sĩ sẽ báo giá chi tiết cho bạn biết.



ưu đãi giảm giá 15% trám răng Inlay Onlay
Ưu đãi 15% Trám sứ Inlay Onlay
Tháng 4 không chỉ là thời điểm của những ngày lễ trọng đại: Giỗ Tổ Hùng Vương, 30/4 – Ngày Giải phóng miền Nam, 1/5 – Quốc tế Lao động, mà còn là cơ hội tuyệt vời để Viện Nha Khoa Thẩm Mỹ Anh Dental gửi lời...
Tìm hiểu thêmTại sao nên chọn trám răng Inlay/Onlay tại Nha khoa Anh Dental?
100
100
100
100
100
100
KHÁCH HÀNG ĐÃ TRẢI NGHIỆM TRÁM RĂNG TẠI ANH DENTAL
CÂU HỎI THƯỜNG GẶP
Làm răng sứ thẩm mỹ giá bao nhiêu là thông tin luôn thu hút sự chú ý của nhiều người. Dưới đây là bảng giá mới nhất của các loại răng sứ tại nha khoa I-Dent bạn có thể tham khảo.
Trám răng Inlay/Onlay là phương pháp phục chỉnh răng mang tính thẩm mỹ cao với nhiều ưu điểm hấp dẫn như: ✔Vật liệu trám Inlay/Onlay mang độ bền chắc rất cao so với các phương pháp khác. ✔Kỹ thuật trám răng Inlay/Onlay sẽ hạn chế tối đa khả năng xâm lấn mô mềm. Do đó, răng được trám Inlay/Onlay được bảo tồn tối đa như răng thật. ✔Răng trám Inlay/Onlay có độ bền cao, khả năng chịu lực tốt và không dễ sứt mẻ hay nứt vỡ. ✔Sứ trám Inlay/Onlay không thay đổi màu sắc, độ bền theo thời gian sử dụng. Nếu bạn đang cần một phương pháp chỉnh nha có hiệu quả lâu dài nhưng không muốn máy móc can thiệp quá nhiều vào răng thì trám răng Inlay/Onlay chính là sự lựa chọn lý tưởng.
Nhiều khách hàng đều thắc mắc rằng tại sao chi phí trám răng Inlay/Onlay thường cao tương đương với bọc răng sứ. Trên thực tế, có rất nhiều yếu tố ảnh hưởng đến giá của dịch vụ trám răng Inlay/Onlay. Dưới đây là một số lý do khiến trám răng Inlay/Onlay lại đắt ngang với bọc răng sứ: ✔Chất liệu trám răng Inlay/Onlay: Khi sử dụng kỹ thuật trám răng Inlay/Onlay, nha sĩ thường dùng vật liệu sứ cao cấp, mang tính thẩm mỹ và độ bền cao. ✔Đội ngũ bác sĩ có chuyên môn cao: Phương pháp trám răng Inlay/Onlay đòi hỏi nha sĩ phải có kinh nghiệm và kỹ thuật cao nhằm mang đến kết quả tốt nhất cho quý khách. Từ quy trình lấy dấu răng đến gắn miếng, mão răng đều được thực hiện chuyên nghiệp. ✔Quy trình chế tác công phu, phức tạp: Trám răng Inlay/Onlay đều phải trải qua quy trình chế tác miếng trám hoặc mão răng riêng biệt trong phòng lab. Do đó, miếng trám yêu cầu phải có độ chính xác cao cũng như kết hợp với công nghệ tiên tiến, thiết bị hiện đại. ✔Mang đến độ bền và hiệu quả lâu dài: Inlay/Onlay có khả năng chịu lực và độ bền cao nên duy trì tuổi thọ của răng trong nhiều năm. Điều này không chỉ cải thiện chức năng ăn nhai một cách tối ưu mà còn mang đến vẻ đẹp thẩm mỹ tuyệt vời cho hàm răng. Do đó, chi phí đều phải tương xứng với chất lượng là điều hiển nhiên khi quý khách lựa chọn trám răng Inlay/Onlay.
Hạn chế lớn nhất của trám răng Inlay/Onlay là không thể chữa trị triệt để trong trường hợp răng bị tổn thương nặng nề. Inlay/Onlay chỉ mang đến hiệu quả tối ưu về tính thẩm mỹ, phục hồi chức năng nhai hoặc sâu răng nhẹ, nứt vỡ và bị thương vừa phải. Nếu gặp phải trường hợp răng bị hỏng quá nhiều thì bọc răng sứ hoặc các phương pháp khác sẽ phù hợp hơn.
Theo các chuyên gia nha khoa hàng đầu, răng bị sâu hay nứt nếu không sớm chữa trị thì sẽ để lại nhiều biến chứng nặng nề cho răng miệng. Bệnh nhân sẽ gặp phải những trường hợp sau nếu không trám răng Inlay/Onlay kịp thời: ✔Tình trạng răng ê buốt kéo dài. ✔Kẽ hở từ vết nứt làm răng ố vàng đi. ✔Tủy răng đau nhức, khó chịu. ✔Vi khuẩn tấn công theo đường nứt vỡ trên răng rồi đến các dây thần kinh dưới chân răng. Lâu ngày, chúng sẽ gây sưng nướu, nhiễm trùng và hôi miệng. ✔Khi vết nứt lan rộng đến thân răng, răng sẽ dần yếu đi, lung lay và gia tăng nguy cơ mất răng hoàn toàn. Trám răng Inlay/Onlay không chỉ giúp ngăn ngừa tổn thương cho răng, giảm nguy cơ đau đớn, nhiễm trùng nhưng vẫn đảm bảo về mặt thẩm mỹ. Vì đây là phương pháp phục chỉnh nha khoa thẩm mỹ còn khá mới mẻ trên thị trường hiện nay nên chưa có nhiều cơ sở triển khai dịch vụ trám răng Inlay/Onlay.
Điều này còn tùy thuộc vào vật liệu trám, kỹ thuật của nha sĩ và công nghệ tân tiến được áp dụng trong quy trình trám răng Inlay/Onlay. Trên thực tế, tuổi thọ của trám răng Inlay/Onlay có thể lên đến hơn 20 năm. Không chỉ thế, mảng trám lâu ngày sẽ bị mòn do ăn uống hoặc thói quen nghiến răng cùng các hoạt động khác. Dần dà, khi miếng trám bị hư hại nặng nề thì cũng thời điểm thích hợp để vi khuẩn xâm nhập. Do đó, thời điểm thích hợp nhất để đi trám răng trở lại là khi bạn nhận biết rằng miếng trám của bạn đang bị dần bào mòn đi. Tuy nhiên, đừng để khi “nước tới chân mới nhảy” mà hãy thăm khám nha sĩ thường xuyên để ngăn ngừa nguy cơ bị mòn răng.