Bạn ao ước có một hàm răng đều đẹp, một nụ cười tự tin nhưng lại vô cùng e ngại việc phải mang “hàng rào sắt” kém duyên trong suốt thời gian dài? Đặc biệt với những người đã đi làm, thường xuyên phải giao tiếp, gặp gỡ đối tác, việc niềng răng mặt ngoài dường như là một rào cản lớn. Niềng răng bên trong chính là câu trả lời hoàn hảo cho trăn trở đó. Trong bài viết này, Viện nha khoa thẩm mỹ Anh Dental sẽ cùng nhau bóc tách mọi khía cạnh của giải pháp chỉnh nha kín đáo này: từ cơ chế hoạt động, ưu và nhược điểm đến chi phí và giải đáp các câu hỏi thường gặp để bạn có cái nhìn tổng quan hơn.
Niềng răng mặt trong là gì? Ưu và nhược điểm
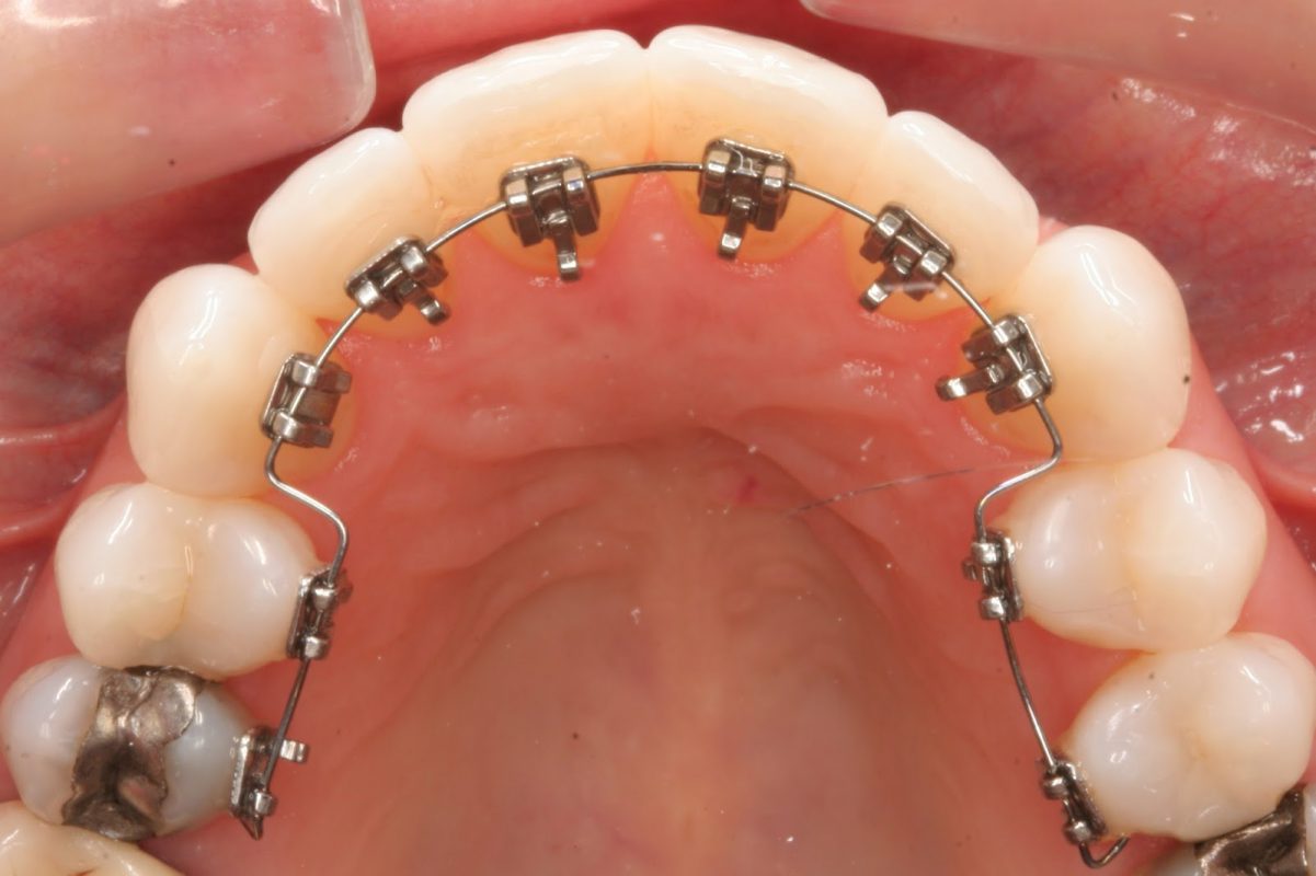
Niềng răng bên trong hay còn gọi là niềng răng mặt lưỡi là phương pháp vẫn sử dụng các khí cụ chỉnh nha như mắc cài, dây cung, khóa tự động…nhằm đưa răng di chuyển đến vị trí mong muốn trên cung hàm.
Thay vì gắn các khí cụ bên ngoài thì với phương pháp này sẽ gắn được gắn cố định vào bề mặt bên trong của răng (phía giáp với lưỡi). Do đó, người ngoài khi nhìn vào sẽ khó nhận biết là bạn đang niềng răng, kể cả là khi bạn nói, cười, giao tiếp thì người đối diện hoàn toàn không thể thấy bạn đang niềng. Toàn bộ quá trình nắn chỉnh răng diễn ra một cách “bí mật”, mang lại tính thẩm mỹ tuyệt đối cho bạn trong suốt thời gian điều trị.

Niềng răng bên trong với các khí cụ chỉnh nha
Ưu và nhược điểm của niềng răng mặt trong
Bất kỳ phương pháp nào cũng có hai mặt. Bạn cần phải hiểu rõ ưu và nhược điểm của niềng răng mặt trong để đưa ra được quyết định đúng đắn hơn
|
Ưu Điểm |
Nhược Điểm |
|
Niềng răng mặt lưỡi hầu như vô hình, tính thẩm mỹ cao |
Niềng răng mặt lưỡi có thể đắt hơn các loại niềng răng khác |
|
Không gây vướng víu môi má, hạn chế trầy xước niêm mạc miệng so với mặt ngoài |
Gây đau trong giai đoạn đầu và khó vệ sinh răng miệng |
|
Hiệu quả chỉnh nha cao, tương đương với mặt ngoài |
Gây cộm, vướng lưỡi và có thể ảnh hưởng đến phát âm ( nói ngọng ) trong 1-4 tuần đầu. |
|
Phù hợp với mọi tình trạng răng, từ đơn giản đến phức tạp. |
Bạn phải bỏ nhiều thời gian cho quá trình điều trị hơn ca niềng mặt ngoài |
Ngoài niềng mặt trong, bạn cũng có thể tham khảo một phương pháp giấu mắc cài hiện đại khác: Niềng răng trong suốt Invisalign, Ưu nhược điểm & chi phí cập nhật
Niềng răng mặt trong giá bao nhiêu? Cập nhật 2025
Chi phí niềng răng mặt trong sẽ phụ thuộc vào 4 yếu tố
- Tình trạng răng miệng (mức độ hô, móm, thưa, lệch lạc).
- Loại mắc cài mặt trong được sử dụng.
- Tay nghề của bác sĩ và mức độ uy tín của phòng khám.
- Chính sách của mỗi nha khoa
Dưới đây là bảng so sánh chi phí tham khảo với các phương pháp phổ biến khác:
|
Phương pháp |
Chi phí (VND) |
|
Niềng răng mặt trong |
80.000.000 – 110.000.000 |
|
Mắc cài kim loại |
30.000.000 – 60.000.000 |
|
Niềng răng mắc cài sứ |
50.000.000 – 70.000.000 |
|
Niềng răng trong suốt Invisalign |
70.000.000 – 130.000.000 |
Để biết cụ thể về chi phí niềng răng, bạn có thể đến trực tiếp Viện nha khoa thẩm mỹ Anh Dental để bác sĩ kiểm tra và đánh giá tình trạng răng của bạn. Dựa trên kết quả đó, bác sĩ sẽ tư vấn phương án phù hợp và lên bảng giá cho liệu trình.
- Đội ngũ bác sĩ chuyên sâu: 100% bác sĩ tốt nghiệp chuyên khoa Răng – Hàm – Mặt, có chứng chỉ hành nghề và kinh nghiệm thực chiến với hàng trăm ca niềng răng mặt trong.
- Ứng dụng công nghệ chỉnh nha 4.0: Tích hợp máy scan trong miệng 3D Trios, phần mềm phân tích V-Ceph và hệ thống thiết kế mắc cài cá nhân hóa, giúp tối ưu độ chính xác và rút ngắn thời gian điều trị.
- Dịch vụ tận tâm, bảo hành minh bạch: Chúng tôi cam kết đồng hành cùng bạn từ lúc bắt đầu đến khi tháo niềng và duy trì kết quả lâu dài, với chính sách bảo hành rõ ràng, trọn đời.

Đến với Viện nha khoa thẩm mỹ Anh Dental bạn sẽ được nhận tư vấn 1:1, phác đồ riêng, giá minh bạch
Giải đáp các câu hỏi thường gặp (FAQ)
1. Niềng răng mặt trong phù hợp với ai?
Với điểm nổi bật là mang lại tính thẩm mỹ cao, niềng răng mặt trong là lựa chọn lý tưởng cho các người trưởng thành, đi làm trong ngành:
- MC, dịch vụ, giáo viên
- Người nổi tiếng, người mẫu
Lưu ý: Nếu bạn dưới 16 tuổi, xương hàm còn đang phát triển hoặc gặp các vấn đề sai lệch khớp cắn nghiêm trọng, hãy thảo luận kỹ với bác sĩ để cân nhắc các phương pháp khác như niềng răng mắc cài kim loại để đảm bảo an toàn và hiệu quả.
2. Niềng răng mặt lưỡi có đau hơn các loại niềng răng khác không?
Có, niềng răng mặt lưỡi (niềng răng mặt trong) thường gây cảm giác đau và khó chịu hơn trong giai đoạn đầu so với các loại niềng răng khác.
3. Niềng răng mặt lưỡi có làm tôi bị nói ngọng không?
Có thể. Do mắc cài gắn gần lưỡi, bạn có thể bị ảnh hưởng phát âm trong thời gian đầu. Tuy nhiên, tình trạng này sẽ cải thiện nhanh chóng khi lưỡi của bạn thích nghi với “người bạn mới”.
4. Ăn uống khi niềng răng mặt trong thế nào?
Bạn nên ăn các loại thực phẩm mềm, cắt nhỏ trong thời gian đầu như sữa chua, cơm và trứng luộc mềm…. Hạn chế đồ ăn quá cứng, dai, dính để tránh làm bong tuột mắc cài.
Sau khi tháo niềng mặt trong, có nên tiêm filler để làm đầy môi, má không? Xem phân tích từ bác sĩ tại bài viết: Niềng răng có nên tiêm filler?
Qua bài viết chi tiết này, hy vọng bạn đã có cái nhìn toàn diện về phương pháp niềng răng mặt trong, một giải pháp chỉnh nha hiện đại, kín đáo và thẩm mỹ vượt trội. Tại Viện Nha khoa Thẩm mỹ Anh Dental, chúng tôi sẵn sàng đồng hành cùng bạn với đội ngũ bác sĩ chuyên sâu, công nghệ chỉnh nha tiên tiến và dịch vụ tận tâm. Hãy để sự tự tin bắt đầu từ nụ cười và để Anh Dental là nơi khởi nguồn.
ANH DENTAL – NHA KHOA HÀNG ĐẦU BẢO TỒN MÔ RĂNG GỐC
- Hotline: 0785.222.668 – 024.8585.6999
- Website: https://nhakhoaanhdental.com
- Zalo: https://zalo.me/0785222668
- Fanpage: facebook.com/NhaKhoa.AnhDental











